Όταν καρκινικά κύτταρα από έναν όγκο πέρα από το ΚΝΣ (κεντρικό νευρικό σύστημα) διασκορπούνται στον εγκέφαλο και δημιουργούν εστίες, τότε μιλούμε για μεταστατική νόσο στον εγκέφαλο. Είναι αξιοσημείωτο ότι η συχνότητα των δευτεροπαθών εστιών στον εγκέφαλο, δηλ. των εγκεφαλικών μεταστάσεων, είναι σαφέστατα μεγαλύτερη από αυτήν των πρωτοπαθών όγκων. Η θεραπεία των όγκων αυτών εξαρτάται από τον αριθμό, τον εντοπισμό και το μέγεθός τους, τη γειτνίαση με κρίσιμες εγκεφαλικές δομές καθως και την γενική και νευρολογική κατάσταση του ασθενούς.
Περισσότερο από το 25% όλων των ασθενών με καρκίνο αναπτύσσουν κατά τη διάρκεια της εξέλιξης της νόσου τους εγκεφαλικές μεταστάσεις. Οι ασθενείς που διατρέχουν τον μεγαλύτερο κίνδυνο πάσχουν από καρκίνο του πνεύμονα, του μαστού, του νεφρού ή από μελάνωμα.
Πώς αναπτύσσονται οι εγκεφαλικές μεταστάσεις;
Τα κακοήθη κύτταρα αποσπώνται από τον αρχικό όγκο και ταξιδεύουν μέσω της κυκλοφορίας του αίματος στον εγκέφαλο. Διασχίζουν τον αιματοεγκεφαλικό φραγμό και εξαπλώνονται στο εγκεφαλονωτιαίο υγρό και τον εγκέφαλο. Περίπου 30-40% των ασθενών εμφανίζουν μόνο μια μετάσταση στον εγκέφαλο.
Ένα από τα συμπτώματα που μπορούν να θέσουν σοβαρή υποψία εγκεφαλικών μεταστάσεων είναι οι ξαφνικές επιληπτικές κρίσεις. Συχνά εμφανίζονται επίσης άλλα μη ειδικά συμπτώματα, όπως συμπτώματα από αυξημένη ενδοκρανιακή πίεση. Πολλοί καρκινοπαθείς για παράδειγμα, εμφανίζουν αρχικά πονοκεφάλους που διαρκούν περισσότερο από το συνηθισμένο και δεν ανταποκρίνονται στα παυσίπονα. Αυτό συχνά συνοδεύεται από ναυτία και έμετο. Τα συμπτώματα αυτά μπορεί να μαρτυρούν αρχικά στάδια αυξημένης ενδοκράνιου πιέσεως. Αν δεν υπάρξει αντίδραση και το μέγεθος των μεταστάσεων όπως και η ενδοκράνιος πίεση συνεχίζει να αυξάνεται, τότε αναπτύσσει ο ασθενής βυθιότητα μέχρι απώλεια συνείδησης και κώμα.
Οι μεταστάσεις στον εγκέφαλο εμφανίζονται επίσης με τη μορφή ειδικών συμπτωμάτων, δηλ. με την εμφάνιση νευρικών ελλειμμάτων, όπως παράλυσης στη μία πλευρά, διαταραχές στην όραση ή στο οπτικό πεδίο, διαταραχές στην ομιλία ή στην κατανόηση.
Μερικοί από τους ασθενείς αναπτύσσουν οργανικό εγκεφαλικό ψυχοσύνδρομο. Σε αυτή την ασθένεια, οι ασθενείς συμπεριφέρονται ανώμαλα και μερικές φορές δεν είναι πλέον σε θέση να πραγματοποιήσουν απλές καθημερινές δραστηριότητες.
Επίσης, οι εγκεφαλικές μεταστάσεις μπορεί να προκαλέσουν μερικές φορές αιμορραγία στον περιβάλλοντα εγκεφαλικό ιστό. Στη συνέχεια, οι καρκινοπαθείς εμφανίζουν συμπτώματα που είναι τυπικά ενός εγκεφαλικού.
Η έγκαιρη αναγνώριση αυτών των συμπτωμάτων τόσο από τον ασθενή και την οικογένειά του όσο και από τους θεράποντες ιατρούς είναι καθοριστικής σημασίας για την άμεση διάγνωση και θεραπεία, η οποία στην περίπτωση αυτή θα επιτρέψει μια καλύτερη πορεία της ασθένειας.
Η μαγνητική τομογραφία εγκεφάλου είναι η μέθοδος εκλογής για την απεικόνιση των εγκεφαλικών μεταστάσεων. Αυτή διενεργείται είτε επί υποψίας αλλοίωσης στο κεντρικό νευρικό σύστημα, λόγω ανάπτυξης μιας νευρολογικής συμπτωματολογίας ή απλά στα πλαίσια του γενικού staging με τακτικές απεικονίσεις στο σώμα και στον εγκέφαλο. Με τη βοήθεια αυτής της απεικονιστικής διαδικασίας μπορεί να γίνει ορατός ο παθολογικά αλλοιωμένος εγκεφαλικός ιστός με τις νεκρώσεις του καθώς και το περιεστιακό εγκεφαλικό οίδημα (συσσώρευση νερού στον εγκέφαλο).
Η αξονική τομογραφία εγκεφάλου, δεν παρέχει τόσες πληροφορίες σχετικά με τον εγκεφαλικό ιστό, μπορεί όμως να μας δώσει περαιτέρω πληροφορίες σε περίπτωση αιμορραγίας, ασβεστοποιημένου εγκεφαλικού ιστού ή διήθησης οστού.
Εξετάσεις όπως PET CT scan είναι σε θέση να μας δώσουν πληροφορίες για αρχόμενες βλάβες στο σώμα, έτσι και στον εγκέφαλο/στο κρανίο.
Η σίγουρη διάγνωση γίνεται με την βιοψία. Αυτή είναι αναγκαία όταν δεν είναι γνωστός ο πρωτοπαθής όγκος και ούτε ανευρίσκεται μετά από μια σειρά εξετάσεων. Στη βιοψία ο γιατρός παίρνει ένα δείγμα ιστού από την εγκεφαλική μετάσταση και το εξετάζει για κακοήθη κύτταρα στο εργαστήριο. Σήμερα οι βιοψίες μπορούν να γίνονται πλέον στερεοτακτικά ή ρομποτικά μέσω μιας μικρής οπής στο κρανίο. Με το αποτέλεσμα της βιοψίας θα μπορέσουμε να προσδιορίσουμε πού στο σώμα βρίσκεται ο πρωτοπαθής όγκος.
Σε περίπτωση που ο πρωτοπαθής όγκος στο σώμα είναι γνωστός και οι εγκεφαλικές μεταστάσεις δεν προκαλούν κάποιο σύμπτωμα, δεν βρίσκονται κοντά σε περιοχές του εγκεφάλου που ενδέχεται να προκαλέσουν σύντομα νευρολογικά ελλείμματα, είναι μικρές σε μέγεθος και πολυάριθμες, τότε προτείνεται αρχικά η μη χειρουργική θεραπεία . όπως μια μορφή ακτινοβολίας. Επίσης, ο ογκολόγος πρέπει να σκεφθεί μια αλλαγή της χημειοθεραπείας
Όταν οι εγκεφαλικές μεταστάσεις προκαλούν συμπτώματα ή ξεπερνούν κάποιο μέγεθος ώστε να υπάρχουν συμπιεστικά φαινόμενα και ενδοκράνιος πίεση ή όταν υπάρχουν λιγοστές μεταστάσεις πρέπει να τεθεί και η δυνατότητα του χειρουργείου στο διεπιστημονικό ογκολογικό συμβούλιο. Όταν ένας ασθενής κριθεί χειρουργήσιμος και αφαιρεθούν χειρουργικά οι εγκεφαλικές μεταστάσεις του, τότε εμφανίζει σαφέστατα καλύτερη πορεία και πρόγνωση.
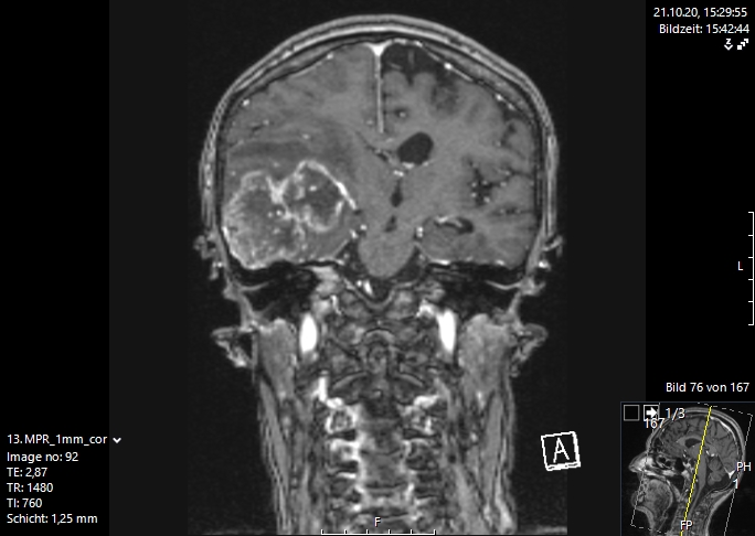
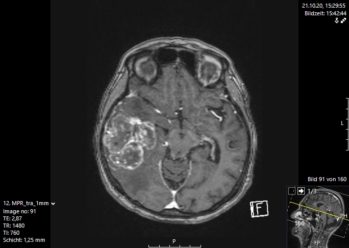
Σήμερα υπάρχουν διάφορες διεγχειρητικές τεχνικές, που μας υποστηρίζουν στο στόχο μας, να αφαιρέσουμε όσο περισσότερο καρκινικό ιστό , αν γίνεται ιστό ακόμα και από την περιοχή γύρω από τον όγκο, που ονομάζουμε διηθητική ζώνη. Μερικές σύγχρονες διεγχειρητικές τεχνικές, είναι η νευροπαρακολούθηση, η νευροπλοήγηση με απεικόνιση των δεσμίδων, η ενδοσκοπική νευροχειρουργική και τα χειρουργεία με ασθενή σε εγρήγορση. Ο συνδυασμός λοιπόν ενός ασφαλούς χειρουργείου με ταυτόχρονη ολική αφαίρεση του όγκου αποτελεί τον στόχο της σύγχρονης χειρουργικής νευρο-ογκολογίας και στην περίπτωση των εγκεφαλικών μεταστάσεων. Οι εικόνες 1 και 2 απεικονίζουν μια ολική εξαίρεση μιας μετάστασης δεξιά κροταφικά. Αυτό είναι σαφέστατα πιο πιθανό να προσφερθεί από ειδήμονες νευροχειρουργούς (Gousias K, 2024) με ειδική εκπαίδευση σε μεγάλα κέντρα, μεγάλη χειρουργική εμπειρία και εξειδίκευση στην χειρουργική των όγκων καθώς και διεθνή αναγνώριση τους. Η επιτροπή Χειρουργικής Νευρο-ογκολογίας της Ευρωπαϊκής Νευροχειρουργικής Εταιρείας δημοσίευσε το προφίλ ενός expert χειρουργού για όγκους εγκεφάλου και νωτιαίου μυελού (Gousias K, 2024).
Τα συμπτώματα των εγκεφαλικών μεταστάσεων συχνά προκαλούν σοβαρή ενόχληση και περιορισμούς στην καθημερινή ζωή. Επομένως, η ανακούφιση των συμπτωμάτων είναι το πρώτο βήμα στη θεραπεία.
Σε ασθενείς με επιληπτικές κρίσεις χορηγούνται αντιεπιληπτικά φάρμακα. Το εγκεφαλικό οίδημα που περιβάλλει τις μεταστάσεις υποχωρεί με θεραπεία κορτιζόνης.
Διάφορες μορφές ακτινοβολίας (κλασσική ακτινοθεραπεία, στερεοτακτική ακτινοβολία ή ακτινοχειρουργική, όπως γ-knife η cyber knife) είναι επιλογές για μια αρχική θεραπεία χωρίς χειρουργείο. Η ακτινοχειρουργική χορηγεί μια εξαιρετικά υψηλή δόση ακτινοβολίας που κατευθύνεται με ακρίβεια στον όγκο και τον καταστρέφει σε μία ή λίγες μόνο συνεδρίες. Επίσης, θα πρέπει να συζητηθεί και η περίπτωση θεραπείας με laser (LITT).
Μετά από μια χειρουργική αφαίρεση υπάρχει η ένδειξη για μετεγχειρητική ακτινοβολία του χειρουργικού πεδίου.
Πέρα από την μετεγχειρητική ακτινοβολία, θα πρέπει να βρεθούν καινούργια πρωτόκολλα χημειο- ή ανοσοθεραπείας , αφού με την υπάρχουσα θεραπεία αναπτύχθηκαν εγκεφαλικές μεταστάσεις, άρα η θεραπεία δεν ήταν αποτελεσματική.




Gousias K et al. Expertise in Surgical Neurooncology. Results of a survey of EANS Neurooncology Section. Brain and Spine 2024;4:102822