Οι ενδοκοιλιακοί όγκοι συνιστούν μια ομάδα διαφορετικών τύπων όγκων που αναπτύσσονται στις κοιλίες του εγκεφάλου και η αντιμετώπισή τους απαιτεί μεγάλη εμπειρία κι εξειδίκευση.
Έχοντας θητεύσει ως διευθυντής σε κορυφαία κέντρα Νευροχειρουργικής στη Γερμανία, ο Δρ. Γούσιας έχει σημαντική εμπειρία στη χειρουργική αντιμετώπιση των σπάνιων αυτών όγκων του εγκεφάλου (τουλάχιστον μια αντίστοιχη επέμβαση την εβδομάδα επί σειρά ετών) και εξειδίκευση στην πλέον σύγχρονη ενδοσκοπική εκτομή τους.
Ο Δρ. Γούσιας είναι συχνά ομιλητής σε διεθνή συνέδρια Νευροχειρουργικής, όπου μοιράζεται την τεχνογνωσία του και την εξειδικευμένη του γνώση πάνω στις πλέον πρωτοποριακές μεθόδους διαχείρισης των όγκων του εγκεφάλου.
Η ενδοσκοπική εκτομή των ενδοκοιλιακών όγκων είναι ελάχιστα επεμβατική και αποφεύγει τις μεγάλες κρανιοτομές των συμβατικών ανοικτών επεμβάσεων.
Οι ενδοκοιλιακοί όγκοι είναι μια διαφορετική ομάδα όγκων που αναπτύσσονται στο ενδοκοιλιακό σύστημα του εγκεφάλου. Αυτό αποτελείται από τις τέσσερις κοιλίες, οι οποίες είναι υπεύθυνες για την παραγωγή και την κυκλοφορία του εγκεφαλονωτιαίου υγρού:
Οι ενδοκοιλιακοί όγκοι εμφανίζονται σε άτομα όλων των ηλικιών, αν και ορισμένοι τύποι παρατηρούνται πιο συχνά σε συγκεκριμένες ηλικιακές ομάδες.
Υπάρχουν διάφοροι τύποι ενδοκοιλιακών όγκων, οι οποίοι έχουν ως αφετηρία διαφορετικούς τύπους κυττάρων εντός των κοιλιών, οδηγώντας σε ξεχωριστές κλινικές εκδηλώσεις, χαρακτηριστικά και θεραπευτικές προσεγγίσεις.
Οι κυριότεροι τύποι ενδοκοιλιακών όγκων είναι οι εξής:
Η συμπτωματολογία των ενδοκοιλιακών όγκων ποικίλει ανάλογα με τον τύπο και τη θέση τους στον εγκέφαλο. Τα πιο κοινά συμπτώματα περιλαμβάνουν:
Η παρεμπόδιση της ροής του εγκεφαλονωτιαίου υγρού από ενδοκοιλιακούς όγκους, μπορεί να οδηγήσει σε αποφρακτικό υδροκέφαλο, ο οποίος μπορεί να προκαλέσει πονοκέφαλο, ναυτία, προβλήματα όρασης και άλλες επιπλοκές.
Η διάγνωση των ενδοκοιλιακών όγκων ξεκινά με τη λήψη λεπτομερούς ιστορικού και τη φυσική εξέταση του ασθενούς. Ακολούθως, η διάγνωση επιβεβαιώνεται με απεικονιστικό έλεγχο, ο οποίος περιλαμβάνει εξετάσεις, όπως μαγνητική και αξονική τομογραφία. Επιπλέον, ενδέχεται να ληφθεί δείγμα ιστού (βιοψία) για να προσδιοριστεί εάν ο τύπος του όγκου και αν υπάρχει κακοήθεια.
Οι ενδοκοιλιακοί όγκοι μπορούν να αντιμετωπιστούν με μοναδικές, ελάχιστα επεμβατικές χειρουργικές προσεγγίσεις. Η χειρουργική προσέγγιση εξαρτάται από τον τύπο του όγκου, το αν είναι καλοήθης ή όχι, το μέγεθος και τη θέση του εντός του κοιλιακού συστήματος του εγκεφάλου.
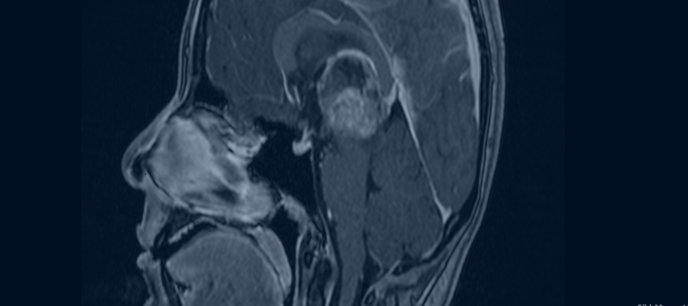
Η μέθοδος εκλογής για τη χειρουργική αντιμετώπιση των ενδοκοιλιακών όγκων είναι η Ενδοσκοπική Προσέγγιση. Στην εικόνα 1 μπορούμε να αναγνωρίσουμε δυο μικρές εστίες επενδυμώματος της ΙΙΙ κοιλίας, όπως αυτές φαίνονται μέσα από το ενδοσκόπιο. Αυτή η καινοτόμος, ελάχιστα επεμβατική τεχνική διενεργείται μέσα από μια μικρή οπή (10-12 χιλιοστών (κρανιοανάτρηση).
Εν γένει, μπορεί κανείς να πει ότι οι καλοήθης και καλά περιγεγραμμένοι ενδοκοιλιακοί όγκοι αφαιρούνται πάντα ενδοσκοπικά, ενώ οι κακοήθεις όγκοι με διήθηση ενδέχεται να απαιτούν μια μικροχειρουργική επέμβαση.
Οι ενδοκοιλιακοί όγκοι εμφανίζονται σε όλες τις ηλικίες ενώ προκαλούν μια ποικιλία συμπτωμάτων, με κυριότερο τον υδροκέφαλο. Η χρήση του ενδοσκοπίου είναι μια εξαιρετική επιλογή που προσφέρει άριστη απεικόνιση του κοιλιακού συστήματος και τη δυνατότητα της ολικής αφαίρεσης των ενδοκοιλιακών όγκων μέσω μιας μικρής κρανιοανάρτησης/οπής. Η νευροενδοσκόπηση μπορεί να συνδυασθεί με την νευροπλοήγηση για την καλύτερη καθοδήγηση του νευροενδοσκοπίου μέχρι την περιοχή των κοιλιών στην οποία εντοπίζεται ο όγκος.
Η εικόνα 1, απεικονίζει τη ν καθοδήγηση του ενδοσκοπίου μέχρι τις κοιλίες του εγκεφάλου για να αφαιρεθεί στην συνέχεια ο όγκος ενδοσκοπικά.

Η Ενδοσκόπηση έφερε επανάσταση στη Νευροχειρουργική επιτρέποντας την αφαίρεση δυσπρόσιτων όγκων που περιβάλλονται από ζωτικής σημασίας, ευαίσθητες δομές ελάχιστα επεμβατικά και με το μικρότερο δυνατό χειρουργικό τραύμα.
Με αυτόν τον τρόπο επιτυγχάνεται:
Το σημαντικότερο, όμως, είναι ότι μειώνεται σημαντικά ο κίνδυνος διεγχειρητικών και μετεγχειρητικών επιπλοκών, όπως λοιμώξεις και διαταραχές επούλωσης.
Η ενδοσκοπική χειρουργική είναι ελάχιστα επεμβατική και προκαλεί πολύ λιγότερο μετεγχειρητικό πόνο σε σχέση με τις κλασικές ανοικτές επεμβάσεις. Οι περισσότεροι ασθενείς χρειάζονται μόνο ήπια αναλγητικά και μπορούν να κινητοποιηθούν γρήγορα μετά την επέμβαση.
Η ανάρρωση είναι σαφώς ταχύτερη σε σχέση με τις παραδοσιακές τεχνικές. Οι ασθενείς παραμένουν στο νοσοκομείο συνήθως για λίγες ημέρες και επιστρέφουν στις καθημερινές τους δραστηριότητες μέσα σε μικρό χρονικό διάστημα, ανάλογα πάντα με τον τύπο του όγκου και τη συνολική τους κατάσταση.
Όχι. Υπάρχουν καλοήθεις όγκοι, όπως τα επενδυμώματα ή οι όγκοι του χοριοειδούς πλέγματος, που εμφανίζονται πιο συχνά από τις κακοήθεις μορφές. Η διάγνωση και η ιστολογική ανάλυση είναι καθοριστικές για τον καθορισμό της κατάλληλης θεραπείας.
Ο κίνδυνος υποτροπής εξαρτάται από τον τύπο του όγκου, την πληρότητα της αφαίρεσης και τα ιδιαίτερα χαρακτηριστικά του ασθενούς. Οι καλοήθεις όγκοι που αφαιρούνται πλήρως ενδοσκοπικά έχουν πολύ μικρή πιθανότητα υποτροπής, ενώ στους κακοήθεις απαιτείται συχνά συμπληρωματική θεραπεία και τακτική παρακολούθηση.
Η ενδοσκοπική μέθοδος πραγματοποιείται μέσω μιας πολύ μικρής οπής 10 με 12 χιλιοστών, χωρίς μεγάλες κρανιοτομές. Αυτό συνεπάγεται μικρότερο χειρουργικό τραύμα, λιγότερο πόνο, ταχύτερη ανάρρωση, μικρότερη διάρκεια νοσηλείας και μειωμένο κίνδυνο επιπλοκών, προσφέροντας παράλληλα άριστη απεικόνιση και ακριβή αφαίρεση του όγκου.