Η χρήση του ενδοσκοπίου στα χειρουργεία των εγκεφαλικών παθήσεων μας προσφέρει τη δυνατότητα να διενεργούμε πλέον τις προσπελάσεις της κλειδαρότρυπας και να έχουμε άριστη απεικόνιση του χειρουργικού πεδίου με καλύτερα χειρουργικά αποτελέσματα. Ο ασθενής επωφελείται αφού αναρρώνει πιο γρήγορα, ενώ οι πιθανότητες για πιθανές επιπλοκές, όπως μετεγχειρητικές λοιμώξεις ή αιμορραγίες μειώνονται.
Ωστόσο οι επεμβάσεις με ενδοσκόπιο απαιτούν μεγάλη εμπειρία του χειρουργού στην τεχνική αυτή. Ο καθηγητής κ. Γούσιας είναι διεθνώς αναγνωρισμένος ως ειδικός για την ενδοσκοπική νευροχειρουργική, στα πλαίσια αυτά καλείται να διδάξει ως faculty σε διεθνή σεμινάρια (Εικ.3).
Η χρήση του ενδοσκοπίου είναι ενδεδειγμένη στις παρακάτω εγκεφαλικές παθήσεις



Εξαιρετικά χρήσιμο είναι το ενδοσκόπιο σε όγκους ή εξεργασίες του πρόσθιου κρανιακού βόθρου. Ακόμα και σήμερα οι περισσότεροι νευροχειρουργοί διενεργούν μεγάλες δερματικές τομές και κρανιοτομίες στην μετωπιαία χώρα, οι οποίες μπορούν όμως να αντικατασταθούν από προσπελάσεις κλειδαρότρυπας με τη χρήση του ενδοσκοπίου. Ουσιαστικά ο όγκος που φαίνεται στην εικόνα 7 μπορεί να αφαιρεθεί μέσα από μία μικρή υπερόφρυα προσπέλαση αντί για την κλασσική πτεριονική. Το αποτέλεσμα της εξαίρεσης είναι εξαιρετικό αφού στην περίπτωση του ενδοσκοπίου έχουμε άριστη απεικόνιση του όγκου (βίντεο 1). Η τομή γίνεται στο φρύδι χωρίς αυτό να χρειασθεί να ξυρισθεί, μετεγχειρητικά δε φαίνεται κάποια τομή.
Το ενδοσκόπιο βρίσκει εφαρμογή στην χειρουργική της γεφυροπαρεγκεφαλιδικής γωνίας, είτε πρόκειται για κάποιον όγκο, όπως ακουστικό νευρίνωμα, μηνιγγίωμα ή λοιπό καλοήθη ή κακοήθη όγκο ή πρόκειται για επέμβαση νευραλγίας τριδύμου. Μέσω της οπισθιοσιγμοειδούς προσπέλασης (Εικ. 5) εισέρχεται το ενδοσκόπιο και παρέχει εξαιρετική απεικόνιση. Στο βίντεο 2 φαίνονται οι κατώτερες εγκεφαλικές συζυγίες (κρανιακά νεύρα ΙΧ μέχρι ΧΙ), κρίσιμες αγγειακές δομές και το ακουστικό νευρίνωμα.
Μία από τις πιο συνηθισμένες παθήσεις στο κρανίο στην οποία χρησιμοποιείται το ενδοσκόπιο είναι οι όγκοι του τουρκικού εφιππίου, όπως τα καλοήθη αδενώματα της υπόφυσης και τα κρανιοφαρυγγιώματα. Στις περιπτώσεις αυτές η είσοδος στο κρανίο γίνεται από την μύτη (Εικ. 6). Το ενδοσκόπιο παρέχει εξαιρετική απεικόνιση της περιοχής από τον βλεννογόνο της μύτης μέχρι και τον σφηνοειδή κόλπο και την περιοχή της υπόφυσης μετά το άνοιγμα του εδάφους του τουρκικού εφιππίου. Αντιπροσωπευτικές διεγχειρητικές φωτογραφίες φαίνονται στις εικόνες 8α,β,γ.



Οι ενδοκοιλιακοί όγκοι εμφανίζονται σε όλες τις ηλικίες ενώ προκαλούν μια ποικιλία συμπτωμάτων, με κυριότερο τον υδροκέφαλο. Η χρήση του ενδοσκοπίου είναι μια εξαιρετική επιλογή που προσφέρει άριστη απεικόνιση του κοιλιακού συστήματος και τη δυνατότητα της ολικής αφαίρεσης των ενδοκοιλιακών όγκων μέσω μιας μικρής κρανιοανάρτησης/οπής. Η νευροενδοσκόπηση μπορεί να συνδυασθεί με την νευροπλοήγηση για την καλύτερη καθοδήγηση του νευροενδοσκοπίου μέχρι την περιοχή των κοιλιών στην οποία εντοπίζεται ο όγκος. Η εικόνα 9 απεικονίζει την καθοδήγηση του ενδοσκοπίου μέχρι τις κοιλίες του εγκεφάλου για να αφαιρεθεί στην συνέχεια ο όγκος ενδοσκοπικά.

Σε περιπτώσεις ύπαρξης ενός εμποδίου (κάποιου όγκου ή κάποιας στένωσης άλλης αιτιολογίας) στην κυκλοφορία του εγκεφαλονωτιαίου υγρού (ΕΝΥ) από τον εγκέφαλο στον νωτιαίου μυελού, κυρίως στις περιοχές του υδραγωγού του Sylvius ή στην τέταρτη κοιλία, τότε αποφράζεται μερικώς ή ολικώς η δίοδος του ΕΝΥ προς την σπονδυλική στήλη με αποτέλεσμα να υπάρχει υπέρμετρη συλλογή του ΕΝΥ στον εγκέφαλο. Η πάθηση αυτή λέγεται αποφρακτικός υδροκέφαλος και αν δεν θεραπευθεί άμεσα, έχει οδυνηρές συνέπειες για τον ασθενή.
Η χρήση του ενδοσκοπίου προσφέρει λύση και σε αυτήν την πάθηση. Δημιουργείται μια καινούργια οπή σε ένα άλλο σημείο, στο έδαφος της τρίτης κοιλίας, ώστε να αποκατασταθεί η επικοινωνία και η κυκλοφορία του ΕΝΥ από τον εγκέφαλο προς την σπονδυλική στήλη. Έτσι αντιμετωπίζεται το πρόβλημα της αποφραγμένης φυσιολογικής διόδου.
Στο βίντεο 3 φαίνεται η τεχνική δημιουργίας μιας τεχνητής διόδου μεταξύ των χώρων του εγκεφάλου και του νωτιαίου μυελού. Η χειρουργική αυτή πράξη ονομάζεται ενδοσκοπική τρίτη κοιλιοστομία. Στην εικόνα 10 απεικονίζεται το στέλεχος του εγκεφάλου με τα αγγεία του μετά από την επιτυχημένη δίοδο μέσα από το έδαφος της τρίτης κοιλίας.

Οι κύστες εγκεφάλου εντοπίζονται κυρίως σε περιοχές που έρχονται σε επαφή με το ΕΝΥ ή επικοινωνούν με τις κοιλίες του εγκεφάλου. Συνήθως δεν δημιουργούν συμπτώματα, όταν ωστόσο ένα χειρουργείο είναι ενδεδειγμένο για την αφαίρεσή τους ή την δημιουργία μιας στομίας (διάνοιξη τους), τότε αυτό είναι σαφέστατα λιγότερο επεμβατικό όταν γίνεται με τη χρήση του ενδοσκοπίου. Η εικόνα 11 απεικονίζει το περιεχόμενο μιας κολλοειδούς κύστης.

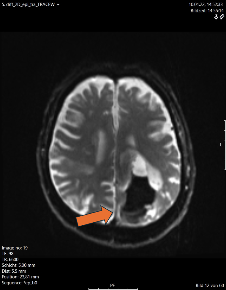
Περισσότερες λεπτομέρειες για τις ενδοεγκεφαλικές αιμορραγίες μπορείτε να διαβάσετε στο αντίστοιχο ενότητα στις παθήσεις (ενδοεγκεφαλικές αιμορραγίες)
Εδώ θέλουμε να τονίσουμε ότι σήμερα είναι δυνατό να αφαιρεθεί μια τέτοια αιμορραγία μόνο μέσω ενός ελάχιστα επεμβατικού ενδοσκοπικού χειρουργείου διάρκειας 20 με 30 λεπτών αντί για τα παραδοσιακά χειρουργεία στα οποία γινόταν μεγάλες κρανιοτομές. Στις εικόνες 12 και 13 απεικονίζονται οι προεγχειρητικές και μετεγχειρητικές εικόνες από δύο ασθενείς με ενδοεγκεφαλική αιμορραγία. Αυτές αφαιρέθηκαν ενδοσκοπικά μέσω μιας απλής κρανιοανάρτησης (1 εκ.)


